
چشمی که بر اثر انفجار مواد منفجره کور شد + تصاویر 14+
نابینای و کور شدن چشم یک مرد بر اثر انفجار مواد محترقه روی صورتش
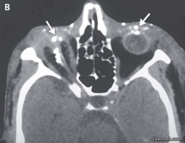
دیلی میل تصاویر دلخراشی از نابینا شدن مردی که بر اثر برخورد مواد منفجره به صورتش دچار حادثه شد را منتشر کرد تا هشدار دهنده بودن این نوع تفریحات را به تصویر بکشد.مردی 44 ساله اهل هند که نامش منتشر نشده است بر اثر برخورد ذرات مواد منفجره به صورتش بینایی کامل یکی از چشمان خود را از دست داد.
آسیب شدید ناشی از پرتاب ذرات ریز مواد منفجره توانایی چشم راست او را به طور کامل از بین برد از طرفی بعد از حادثه به سرعت به بیمارستان منتقل نشده و تاخیر در درمان منجربه کوری یکی از چشمانش شد.
عکس دلخراش چشم کورشده بر اثر انفجار مواد منفجره روی صورت مرد هندی
پزشک معالج تمام سعی خود را به کار گرفت تا در نهایت بینایی چشم چپ او را حفظ کند. دکتر " جاگات رام" پزشک معالج این مرد گفت:پرتاب ذرات ریز و داغ از ماده منفجره که به دلیل سرعت بالا قدرت بیشتری گرفته بود آسیب جدی به چشمان بیمار وارد ساخته بود به طوری که حتی جدا کردن و رفع اثرات این ذرات از روی چشم نابینا شده مرد ناممکن بود ، از بین رفتن لایه ای از قرنیه به واسطه برخورد شدید ذرات مواد منفجره کاردرمان را دشوار می کرد.برای همین درمان اصلی مان را روی درمان چشم چپ بیمار متمرکز کردیم تا حد ممکن بینایی آن را حذف کنیم.



5 کشته بر اثر انفجار تانکر حمل سوخت
7 مصدوم بر اثر انفجار گاز شهری در تبریز
تشخیص مصرف مواد مخدر از روی اثر انگشت
کشف دو محموله بزرگ بمب و مواد منفجره در کشور
8 مواد غذایی برتر جهان
رشد ابروهای ریخته با هر روشی که فوری اثر می کند
ویتامین ها و مواد معدنی موجود در زغال اخته
تمیزکردن وسایل و لوازم خانگی چوبی با مواد طبیعی